Growth Factors and Cytokines for Organoid and 3D Culture Systems
Novoprotein
Organoids have transformed biomedical research by providing physiologically relevant 3D models that recapitulate native tissue architecture and function. From disease modeling to drug screening and precision medicine, organoid systems demand highly controlled microenvironments to ensure reproducibility and biological relevance.At Novoprotein, we supply performance-validated Cytokines and Growth Factors specifically optimized to support organoid self-organization, lineage specification, and long-term expansion. Combined with our NovoMatrix® and Culture Media solutions, our reagents are engineered to reduce variability and accelerate experimental success.
Accelerate Your Organoid Research with Our Performance-Validated Reagents
Comprehensive Portfolio: 50+ Cytokines & Growth Factors
Functionally Validated: Tested across 30+ organoid models and in their relevant bioassays
Reproducible Performance: Strict lot-to-lot consistency to minimize experimental variability
Low Endotoxin and Cell-Safe: Endotoxin levels as low as < 10 EU/mg, suitable for sensitive systems
Widely Referenced: Cited in 1,000+ peer-reviewed publications

Growth Factors and Cytokines by Organoid Type
Organoid development relies on tightly regulated signaling pathways governed by precisely defined soluble factors. Small variations in cytokine potency or purity can dramatically alter differentiation trajectories and morphology.
We provide validated cytokines and growth factors commonly used across numerous organoid systems to enable consistent structure formation and functional maturation:
Experimental and Data-Driven Validation Across Organoid Models
Our cytokines and growth factors are functionally validated in organoid-based applications to confirm correct lineage marker expression, morphological fidelity, sustained expansion capacity, and expected downstream signaling activation.
These data demonstrate reliable biological activity in complex 3D culture environments.
| Organoid Type | Key Growth Factors & Cytokines |
| Intestinal organoids | EGF, Noggin, R-Spondin 1, Wnt-3a, Activin A, BMP-2, BMP-4, FGF basic, FGF-4, FGF-10, HGF, IGF-1, IL-22, TGF-β1 |
| Brain organoids | BDNF, EGF, FGF basic, Noggin, BMP-4, BMP-7, CNTF, FGF-4, FGF-8, FGF-19, GDNF, IGF-1, NT-3, PDGF-BB, SHH, TGF-β1, VEGF-A, Wnt-3a |
| Liver organoids | EGF, FGF-10, HGF, Noggin, R-Spondin 1, Wnt-3a, Activin A, BMP-4, BMP-7, FGF basic, FGF-7, FGF-19, IGF-1, OSM, TGF-β1, VEGF-A |
| Lung organoids | FGF basic, FGF-7, FGF-10, Noggin, R-Spondin 1, Activin A, BMP-4, EGF, FGF-4, HGF, IGF-1, PDGF-BB, SHH, VEGF-A, Wnt-3a |
| Pancreatic organoids | EGF, FGF-10, HGF, Noggin, R-Spondin 1, Wnt-3a, FGF basic, IGF-1, R-Spondin 3 |
| Breast organoids | EGF, FGF basic, FGF-7, FGF-10, HGF, NRG1, Noggin, R-Spondin 1, Wnt-3a, IGF-1, R-Spondin 3, TGF-β1 |
| Kidney organoids | BMP-2, BMP-4, FGF basic, FGF-9, Activin A, BMP-7, EGF, FGF-4, FGF-7, FGF-10, GDNF, HGF, IGF-1, Noggin, R-Spondin 1 |
| Retinal organoids | Activin A, BDNF, BMP-4, FGF basic, Noggin, SHH, Wnt-3a, EGF, IGF-1, PDGF-BB, VEGF-A |
| Gastric organoids | EGF, Noggin, R-Spondin 1, Wnt-3a, Activin A, BMP-4, FGF-4, FGF-10, HGF, IGF-1, TGF-β1 |
| Cardiac organoids | Activin A, BMP-4, FGF basic, IGF-1, TGF-β1, VEGF165, FGF-4, FGF-10, LIF, NRG1, PDGF-BB, SHH, Transferrin |
| Prostate organoids | EGF, FGF-10, HGF, Noggin, R-Spondin 1, Activin A, FGF basic, FGF-7, NRG1, IGF-1, PDGF-BB, TGF-β1, Wnt-3a |
| Skin organoids | EGF, FGF basic, FGF-9, FGF-10, Noggin, R-Spondin 1, BDNF, BMP-4, FGF-7, HGF, IGF-1, NGF, PDGF-BB, TGF-β1, VEGF-A, Wnt-3a |
| Endometrial organoids | EGF, FGF basic, FGF-7, Noggin, R-Spondin 1, Wnt-3a, Activin A, BMP-4, FGF-10, HGF, IGF-1, TGF-β1 |
| Vascular organoids | Activin A, FGF basic, PDGF-BB, VEGF-A, Ang-1, BMP-4, EGF, TGF-β1, Wnt-3a |
| Thyroid organoids | EGF, FGF basic, Noggin, Activin A, BMP-4, FGF-4, FGF-10, HGF, IGF-1, R-Spondin 1, TGF-β1, VEGF-A, Wnt-3a |
| Inner ear organoids | EGF, FGF basic, FGF-10, IGF-1, Noggin, SHH, VEGF-A, BMP-4, PDGF-BB, NGF |
| Islet organoids | EGF, FGF basic, FGF-10, HGF, Noggin, R-Spondin 1, Activin A, BMP-4, IGF-1, VEGF-A, Wnt-3a |
| Nasal organoids | EGF, FGF basic, Noggin, R-Spondin 1, Wnt-3a, BMP-4, FGF-7, HGF, IGF-1, TGF-β1, VEGF-A |
| Tooth organoids | BMP-4, EGF, FGF basic, Noggin, Activin A, BMP-2, BMP-7, FGF-8, FGF-10, IGF-1, NGF, PDGF-BB, SHH, TGF-β1, VEGF-A, Wnt-3a |

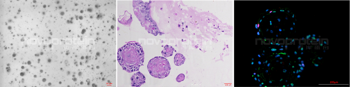
Figure 1. Human breast cancer organoids were cultured with Novoprotein cytokines and growth factors as specified in the table. These organoids showed good morphology. Fluorescent image of human breast cancer organoid structure. DAPI (blue), Ki67 (red), and ER (green) were well conserved in these derived organoids.
| Cytokines/GFs | Cat. No. |
| Wnt-3a | C22R |
| Noggin | CB89 |
| R-Spondin 3 | C18C |
| FGF-7/KGF | CH73 |
| FGF-10 | CR11 |
| EGF | C029 |
| NRG1-β 1 | C753 |
.png)
Figure 2. iPSC-derived intestinal organoids were cultured with Novoprotein cytokines and growth factors as specified in the table.
| Cytokines/GFs | Cat. No. |
| Activin A | C687 |
| Wnt-3a | C22R |
| R-Spondin 1 | CX83 |
| EGF | C029 |
| Noggin | CB89 |
| BMP-4 | CR93 |
| FGF-4 | CR08 |
Differentiation of iPSCs to Liver Organoids

Figure 3. iPSC-derived liver organoids were cultured with Novoprotein cytokines and growth factors as specified in the table.
| Cytokines/GFs | Cat. No. |
| Activin A | C687 |
| Wnt-3a | C22R |
| R-Spondin 1 | CX83 |
| EGF | C029 |
| FGF basic | C046 |
| OSM | C099 |
| BMP-4 | CR93 |
| HGF | CJ72 |